Casi Clinici

Questa sezione descrive ed illustra con immagini il trattamento e la risoluzione di alcuni casi di Ortodonzia.
Il fine è quello di fornire informazioni illustrate sulla modalità e sulla qualità con cui vengono eseguite le terapie presso lo Studio Dentisco Dott.ssa Ferrato Gloria.
I casi di Ortodonzi descritti in questa sezione sono stati tutti eseguiti presso lo Studio Dentisco Dott.ssa Ferrato Gloria.

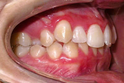
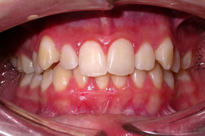
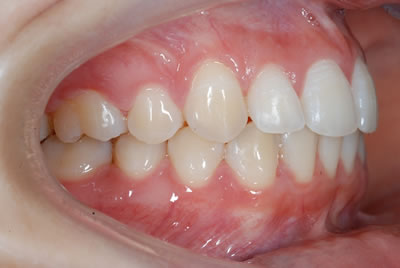
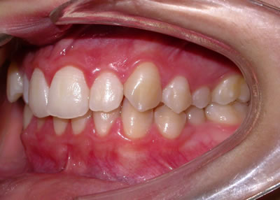
Caso 1

Prima
Caso 1 Prima del trattamento
Dopo
Caso 1 Dopo il trattamento

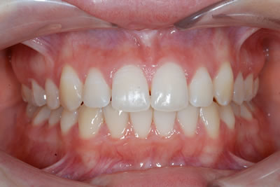
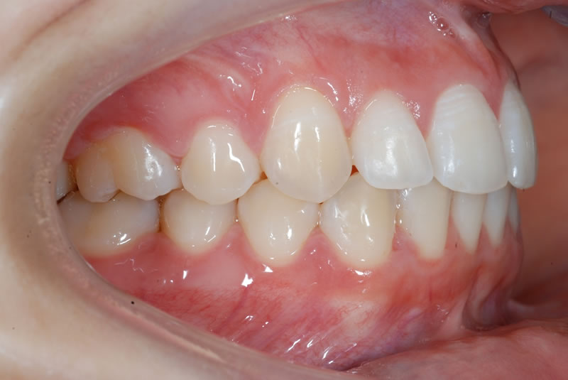
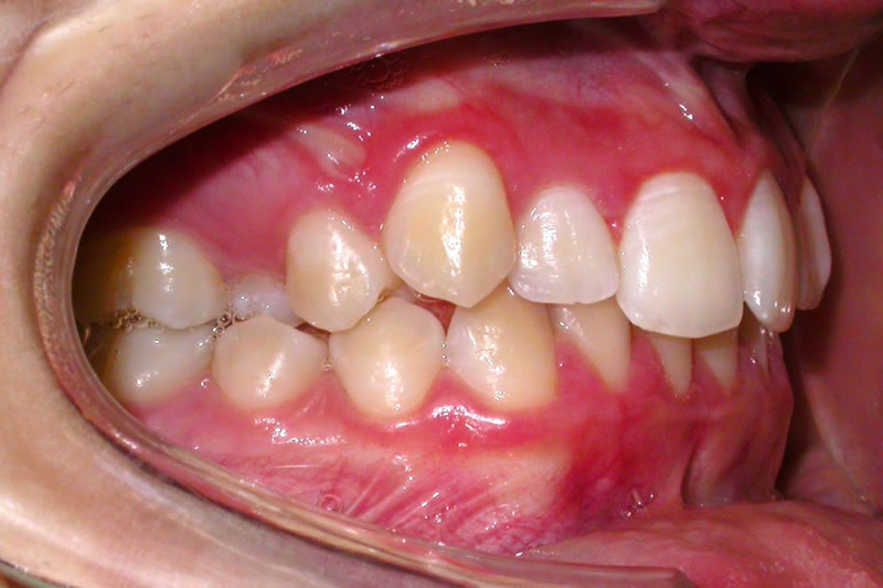
Caso 2

Prima
Caso 2 Prima del trattamento
Dopo
Caso 2 Dopo il trattamento

Caso 3

Prima
Caso 3 Prima del trattamento
Dopo
Caso 3 Dopo il trattamento

Caso 4

Prima
Caso 4 Prima del trattamento
Dopo
Caso 4 Dopo il trattamento

Caso 5

Prima
Caso 5 Prima del trattamento
Dopo
Caso 5 Dopo il trattamento

Caso 6

Prima
Caso 6 Prima del trattamento
Dopo
Caso 6 Dopo il trattamento

This content comes from a hidden element on this page.

The inline option preserves bound JavaScript events and changes, and it puts the content back where it came from when it is closed.

Click me, it will be preserved!

If you try to open a new ColorBox while it is already open, it will update itself with the new content.

Updating Content Example:
Click here to load new content